top of page

BLOG
Other


When a Urinary Tract Infection Does Not Explain Bacteremia. A Case Report of Sepsis, Klebsiella pneumoniae, and Missed Infective Endocarditis
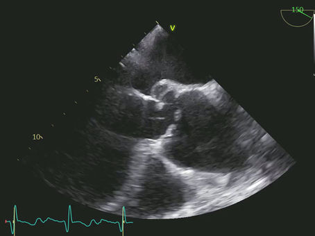
Introduction Fever and bacteremia in older patients with an indwelling urinary catheter are frequently interpreted as urosepsis. In most cases this assumption is correct, but it may also lead to diagnostic anchoring. This case report illustrates how a rare but life-threatening cause of bacteremia was only uncovered after the clinical course failed to follow the expected trajectory. Patient Presentation and Admission A man in his seventies was admitted with fever, acute confus
Faraz Afzal
6 days ago
Â
Â
bottom of page
